KİM KİMDİR FİRMA REHBERİ Hemen Üye Ol Üye Girşi
Uye Girişi
Giriş
Beni Hatırla
Yeni Üye Kayıt
Haber sitemizin aktivitelerinden yararlanmak için üyelik başvuru yapın.
Hemen Üye Olun
Uye Hizmetleri
 
22 Kasım 2025 Cumartesi
°C
Bingöl gelişmeye müsait
Bingöl gelişmeye müsait
Bingöl Belediyesi Yönetim ve Birimlerine bilgi vermek üzere Bingöl’e gelen Kayseri Büyükşehir Belediyesi Teknik İşlerden Sorumlu Genel Sekreter Yardımcısı Kemalettin Cengiz Tekinsoy: “Bingöl’ü beklentilerimin üzerinde ve gelişmeye müsait olarak gördüm” dedi.
12.06.2014
02:02
0
1731
0
Emek sergisine yoğun ilgi
Emek sergisine yoğun ilgi
Bingöl geneli HEM bünyesinde açılan kurslarda eğitim gören binlerce kursiyerin emekleri fuarda sergilendi. Yoğun ilgi gören fuarda konuşan Dengeşik, 2013-2014 döneminde 11 bin 682 kursiyerin eğitim gördüğünü söyledi.
12.06.2014
02:01
0
1359
0
Bir ölüm daha!
Bir ölüm daha!
Bingöl'ün Karlıova ilçesi Taşlıçay köyünde yaşayan silikozis hastası tedavi gördüğü Hacettepe Göğüs Hastanesinde hayatını kaybetti. Son ölümle birlikte aynı köyde 11 kişi silikozis hastalığından hayatını kaybetti.
10.06.2014
23:54
1
5503
0
Hastane için imza kampanyası
Hastane için imza kampanyası
Sağlık Emekçileri Sendikası (SES) Bingöl Şubesi, Bingöl Devlet Hastanesi’nin yeni hizmet binası için imza kampanyası başlattı.
10.06.2014
23:53
0
3186
0
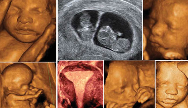
4 boyutlu ultrason hizmete girdi
4 boyutlu ultrason hizmete girdi
Bingöl Kadın Doğum ve Çocuk Hastalıklar Hastanesi, sağlık alanında iyileştirme sağlayarak 4 boyutlu ultrason hizmeti vermeye başladı. Yapılan iyileştirilmeyle sevklerin önü kesilecek.
10.06.2014
23:52
0
7790
0
Sydv`den yoksula 120 milyon tl yardım
Sydv'den yoksula 120 milyon tl yardım
Bingöl SYDV Müdürlüğü, eşi vefat etmiş kadınlara yönelik yardım programı, engelli yakını aylığı, engelli aylığı, yaşlı aylığı, muhtaç asker ailesi yardım gruplarında tüm il genelinde 14 bin 661 kişiye, 120 Milyon TL üzeri yardımda bulundu.
10.06.2014
23:51
0
1447
0
1968 deprem konutları`nın tapuları verilecek
1968 deprem konutları'nın tapuları verilecek
Bingöl Kiğı İlçe Belediyesi, 1968 Deprem Konutları'nda oturan hak sahiplerine tapularının verileceğini müjdeledi.
10.06.2014
23:51
0
2559
0
Kızılay, her gün bin yoksulu doyuruyor
Kızılay, her gün bin yoksulu doyuruyor
Türk Kızılayı Bingöl Şube Başkanı Mehmet Savaş, Bingöl’de Valilik desteğiyle her gün Bin 100 yoksula 2 çeşit yemek yardımı yapıldığını söyledi.
10.06.2014
23:50
0
2170
0
Karlıova`da kepenkler açılmadı
Karlıova'da kepenkler açılmadı
Bingöl'ün Karlıova İlçesi'nde, Diyarbakır Lice'de 2 kişinin ölümünü protesto etmek için önceki gece düzenlenen yürüyüşün ardından dün esnaf kepenk açmadı.
10.06.2014
23:49
0
4131
0
Kaymakamlık önünde işçi eylemi!
Kaymakamlık önünde işçi eylemi!
Karlıova’da bir okul inşaatında çalışan işçiler, iki aydır paralarını alamadıkları gerekçesiyle Kaymakamlık önünde eylem yaptı.
10.06.2014
23:49
0
4061
0
Sitemizde yayınlanan haberlerin telif hakları gazete ve haber kaynaklarına aittir
©Copyright 2017
Haberler, Fotoğraf Galerisi, Video Galerisi, Köşe Yazıları ve daha fazlası için arama yapın